В печени 375-летней мумии обнаружили паразитов
Исследователи сделали громкое заявление: установлен самый ранний известный случай присутствия печеночных паразитов. Об этом сказано в Journal of Parasitology.
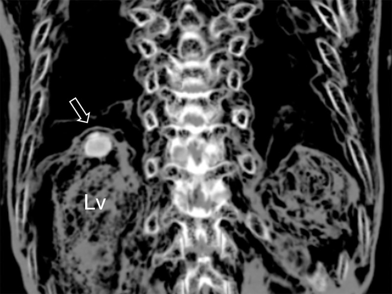
Компьютерная томография обнаружила в печени 375-летней мумии мужчины странное образование. Детальный анализ показал, что в тканях присутствуют яйца трематод вида Paragonimus westermani - паразитических плоских червей.
Мумия была найдена в Китае в 2014 году. Мужчина умер в 1642 году, ему было около 63 лет. Тело прекрасно сохранилось.
В регионе, где проживал мужчина, употребление сырого мяса рака (P. westermani часто заражает пресноводных ракообразных) считалось эффективным средством против кори.
Возможно, умерший подхватил паразитов, когда пытался избавиться от симптомов болезни.



Комментарии